治療開始前の確認事項
Checkpoints
治療開始前の確認事項
Checkpoints
固定式の装置(ご自身で取り外しできない接着剤などで固定された装置)を装着すると、歯磨きはより一層の努力が必要となります。
治療中は、装置がついているため歯が磨きにくくなります。虫歯や歯周病のリスクが高まるので、丁寧な歯磨きや定期メンテナンスの受診が大切です。歯磨きができていないと動画のように虫歯や歯周病が進行します。

一般的な矯正治療の副作用・偶発症のご説明となります。
矯正治療は生涯の歯並びを保証するものではありません。加齢変化や習癖(舌や口唇の癖)、歯周病などにより歯の生理的移動が起こる可能性があります。また、保定装置を使用していても、わずかな歯の移動が起こったり、わずかにスペースが生じたりすることがあります(特に抜歯した部位)。
歯ぐき(歯肉)が痩せて下がることがあります。また、歯の根本に隙間ができる場合があります(ブラックトライアングル)。
矯正治療で歯を移動すると、歯茎や歯槽骨が下がることがあります(歯肉退縮・歯槽骨吸収)。歯槽骨が薄い方、年齢が高い方は起こりやすい傾向にあります。

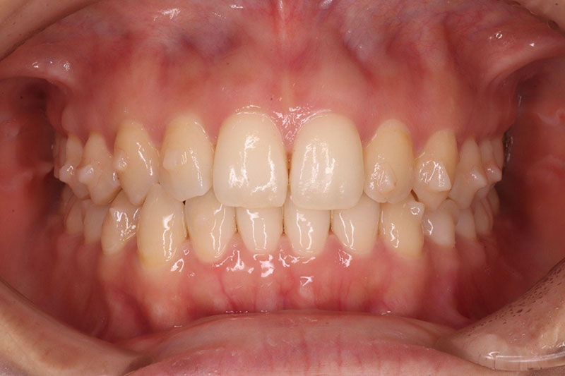
矯正治療後、下顎前歯部の歯茎が下がっています
また歯肉退縮と相まって、歯と歯の間に「ブラックトライアングル」というすき間ができることがあります。特に前歯にできると、見た目が気になるかもしれません。
これは、歯並びが良くなることで、今まで隠れていた歯ぐきのすき間が見えるようになったり、歯周組織が引き締まったりしてできるもので、特に異常ではありません。歯の形が三角形に近いと、ブラックトライアングルはできやすくなります。
歯を配列したあと、下顎前歯部にブラックトライアングルが生じた
IPR(歯と歯の間を少し削る処置)でブラックトライアングルを小さくできることもありますが、削れる量には限界があり、かみ合わせによってはできない場合もあります。

まれに、矯正治療中に歯が失活することがあります(歯髄壊死)。場合によっては根管治療(いわゆる神経の治療)が必要になります。
歯髄(歯の神経や血管)が弱くなったり、失活した場合、歯の色が少し暗くなります。失活した歯が細菌に感染した場合は、根管治療が必要になる場合があります。

歯を動かすことにより、歯根が短くなることがあります(歯根吸収)。
研究では、矯正治療を受けた歯の90%に歯根吸収が起こると報告されています。多くの人は3mm以内で収まります。重度の歯根吸収は、1~5%の歯にしか見られません。
研究では、矯正治療を受けた歯の90%に歯根吸収が起こると報告されています。多くの人は3mm以内で収まります。重度の歯根吸収は、1〜5%の歯にしか見られません*。
研究では、矯正治療を受けた歯の90%に歯根吸収が起こると報告されていますので、矯正治療における主な副作用と言えます。多くの人は3mm以内で収まります。重度の歯根吸収は、1~5%の歯に起こると報告されています*。もともと歯根の長さには個人差があり、歯根が短い人ほど将来的な予後は不利と言えますが、割合としては小さいです。特に歯根が短いと言える場合は診断時にご説明します。歯根吸収は、通常、歯を動かす治療が終わると止まります。

*参考文献
Weltman, B., Vig, K. W. L., Fields, H. W., Shanker, S., & Kaizar, E. E. (2010). Root resorption associated with orthodontic tooth movement: A systematic review. American Journal of Orthodontics and Dentofacial Orthopedics, 137(4), 462-476.
矯正治療中に「顎関節で音が鳴る、顎が痛い、口を開けにくい」などの顎関節症状が出ることがあります。
ごくまれに、歯と骨が癒着していて一部の歯が動かないことがあります。それにより、治療計画の変更が必要になる場合があります。
・何ヶ月も通院を怠って後戻りが生じた場合。(事前にご相談いただいている留学や出産など当院がやむを得ない事情と認める場合は追加費用はかかりません。)
・連絡無く1年以上通院が途絶え、料金改定もしくは物価や諸経費の上昇があった場合
・治療中に患者都合により治療計画を変更する場合
例:当初は非抜歯を希望していたが、途中で希望が変わって抜歯に変更する
以下、裏側矯正を希望される患者さまのみご確認下さい。
以下、マウスピース矯正を希望される患者さまのみご確認下さい。
以下、小児のI期・II期治療を希望される患者さまのみご確認下さい。
未成年の患者さまの保護者の方はご確認ください。